Real Smiles, Real Results
See the transformations we've achieved for our patients. From subtle enhancements to complete smile makeovers.
Start Your TransformationBefore & After Gallery
Browse through our collection of patient transformations across various treatments.

Complete Smile Makeover
This patient's smile was transformed with composite bonding to even out the teeth and professional whitening for a brighter, more uniform appearance.
Learn about this treatment
Edge Bonding Restoration
Worn and chipped edges on the upper front teeth were restored with composite bonding, creating a natural, youthful appearance.
Learn about this treatment
Invisalign Transformation
Crowded upper teeth were straightened using Invisalign clear aligners, with a fixed retainer placed to maintain the beautiful results.
Learn about this treatment
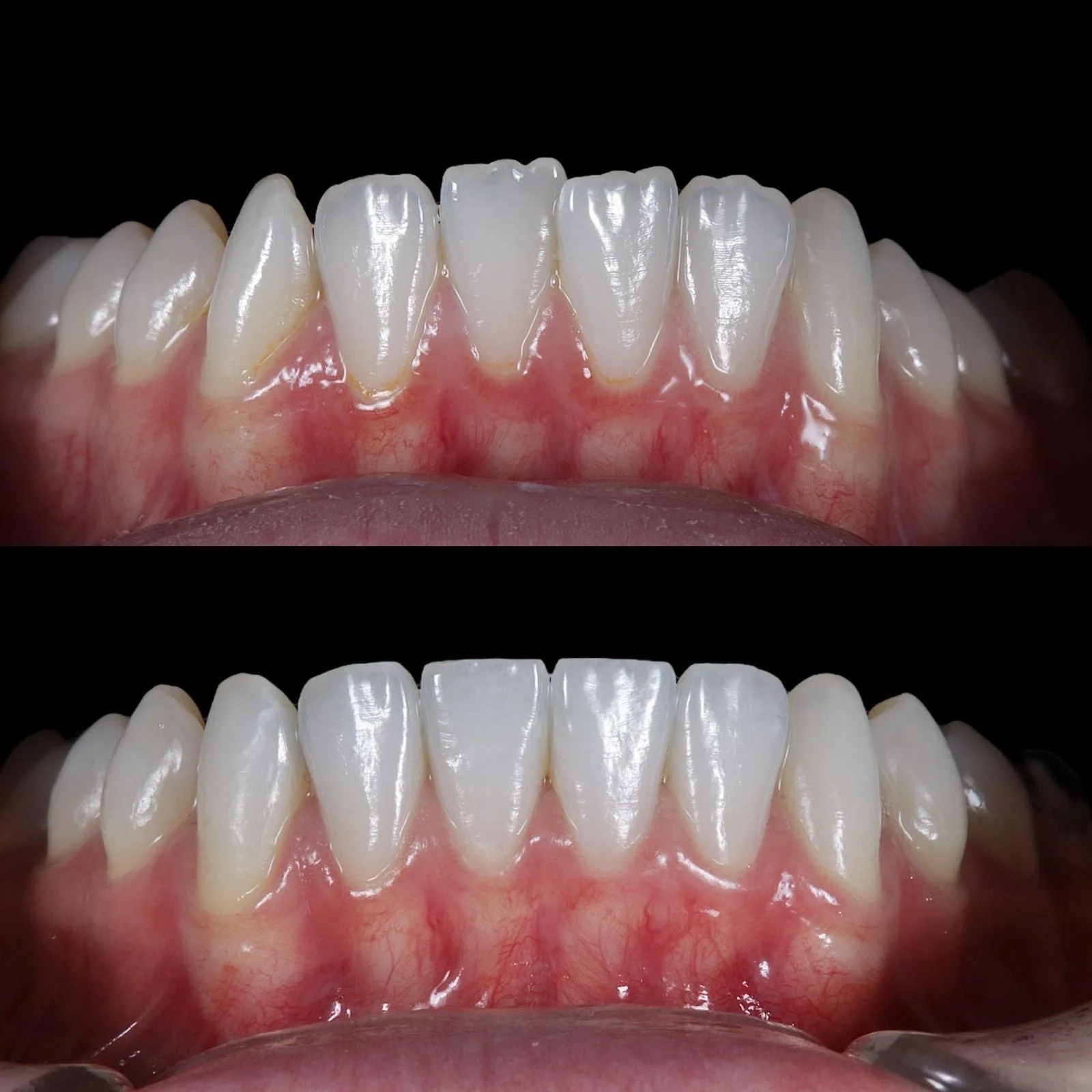
Lower Teeth Alignment
Crooked lower teeth were aligned and enhanced with composite bonding for an even, natural smile.
Learn about this treatment
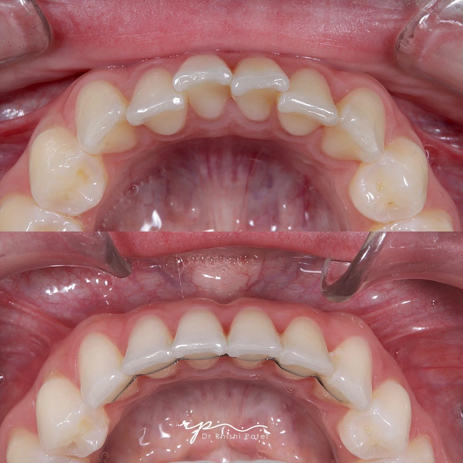
Lower Arch Enhancement
Comprehensive lower teeth alignment and bonding to create symmetry and improve the overall smile appearance.
Learn about this treatment
Chipped Tooth Repair
A chipped front tooth was seamlessly repaired with composite bonding, restoring the natural shape and function.
Learn about this treatment
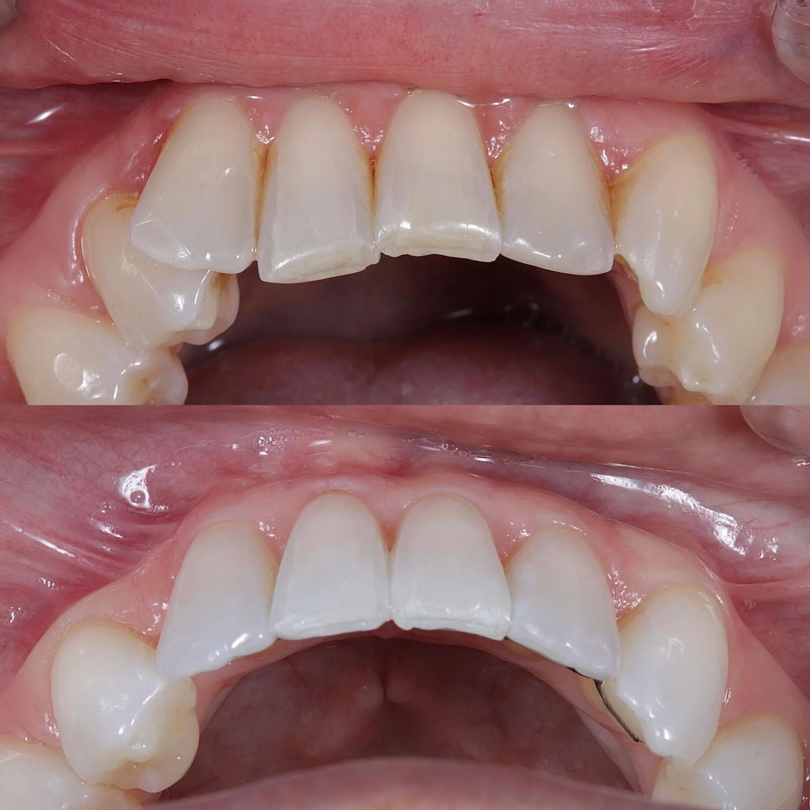
Invisalign for Crowding
Severely crowded upper teeth were transformed with Invisalign treatment, achieving perfect alignment with a fixed retainer for lasting results.
Learn about this treatment
Before
AfterSame-Day Dental Implants & Bridge
Same-day extraction and placement of dental implants with a full bridge. This patient walked out with a complete new smile on the same day.
Learn about this treatmentWhat Our Patients Say
“I find the staff are very friendly and helpful, they make you feel at home. Have no issues with appointments and they keep you informed on your appointment”
Patient
“Had a specialist dental emergency and the staff were fantastic. It seemed within moments that my dentist George telephoned me to establish the most effective and immediate way forward. When it became apparent I needed more specialist intervention they seamlessly arranged a local specialist appointment for the following day for me. Fabulous dental support and I can't thank them enough for their caring and speedy support and intervention. They went the extra Mile for me... Thank you”
Patient
“Extremely pleased with the care received under the care of St Mary's Dental Practice. My dentist has shown consideration and care with superb communication in my recent appointment today he took time to explain each step and the care provided meant I didn't need any pain management due to excellent knowledge of the best way to proceed. The team were all courteous and friendly. I had managed to book with ease for a time to suit me and follow up advice I was very helpful.”
Patient
“Great practice, lovely dentists and staff are polite and accommodating. I'm grateful to have such a caring dental practice. Good luck in everything.”
Patient
Ready for Your Transformation?
Book a consultation to discuss your smile goals. We'll create a personalized treatment plan just for you.