34a St Mary's Street, Stamford, Lincolnshire PE9 2DS

SMILE MAKEOVER

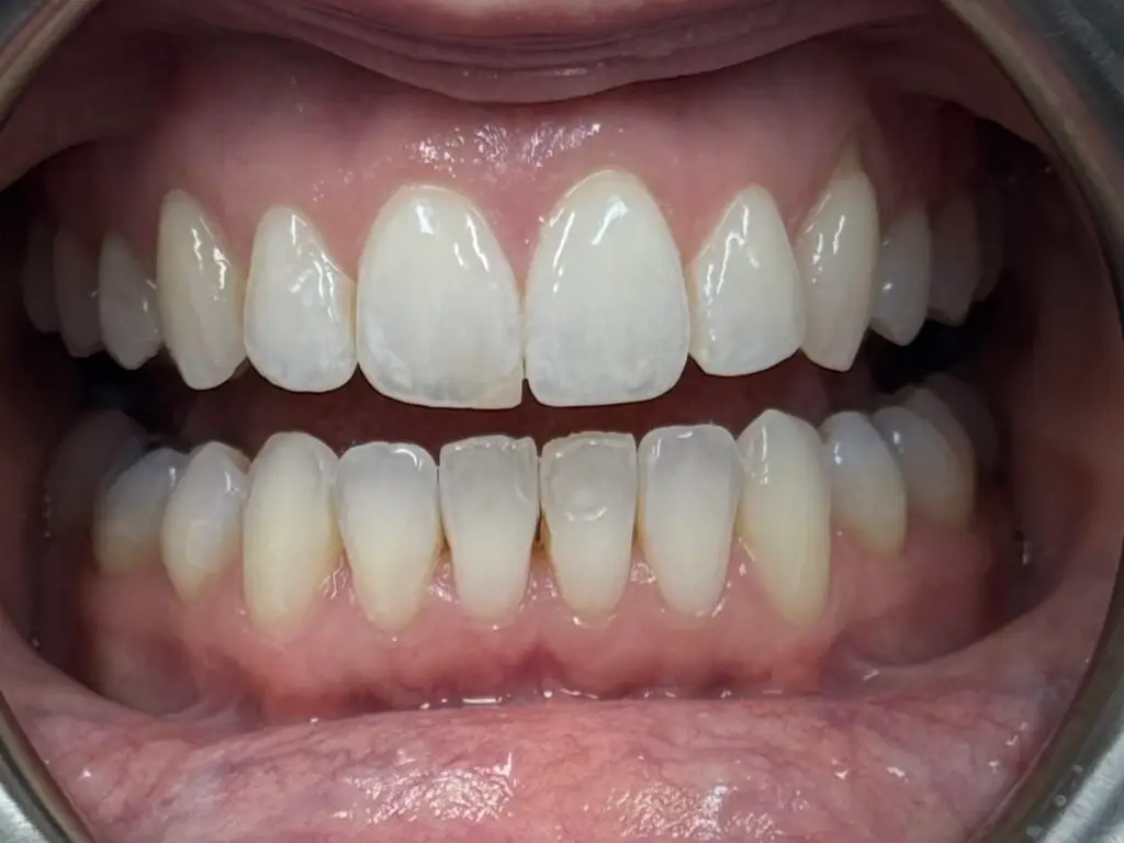
Transform Your Smile

Unlock the confidence of a stunning smile with our expert cosmetic dentistry services tailored for you.

Enhance Your Smile with Our Smile Makeover Treatments

A smile makeover is a tailored approach that combines various cosmetic treatments to achieve your dream smile. Whether you seek subtle enhancements or a complete transformation, our expert team is here to help.

Personalised Solutions
We assess your unique needs to create a customised treatment plan just for you.

Expert Care

Our skilled professionals use the latest techniques to ensure stunning, natural-looking results.

Before

After

Transform Your Smile with Our Teeth Whitening Services

Our Teeth Whitening services are designed to brighten your smile safely and effectively. Experience a radiant transformation that enhances your confidence and leaves a lasting impression.
Transform Your Smile with Dental Veneers
Dental veneers are thin shells crafted from high-quality materials, designed to cover the front surface of your teeth. They effectively enhance the appearance of your smile by correcting imperfections such as discolouration, chips, or gaps.
Transform Your Smile with the Innovative Invisalign System
Invisalign offers a discreet and comfortable way to straighten your teeth. With custom-made aligners, you can achieve the smile you’ve always wanted without the hassle of traditional braces.
How It Works

Receive a series of custom aligners, changing them every two weeks for optimal results.

Benefits

Enjoy a virtually invisible solution that fits seamlessly into your lifestyle.

Transformation Gallery

See remarkable results of our restorative treatments.

Transform Your Smile Today
Contact us now to schedule your consultation and discover your best smile with our treatments.

FAQs

Find answers to your most pressing questions about our cosmetic dentistry procedures.

Clear Aligners
How do clear aligners work?
Clear aligners are custom-made trays that gradually shift your teeth into the desired position. Using advanced 3D imaging technology, we create a series of aligners tailored specifically for your dental structure. You wear each aligner for about two weeks before switching to the next in the series.

Yes, clear aligners are designed for comfort. They are made from smooth plastic, which reduces irritation to your gums and cheeks. Most patients find them much more comfortable than traditional metal braces.

The duration of treatment varies depending on individual needs, but most patients complete their aligner therapy in 6 to 18 months. Regular check-ins with your dentist will help ensure your progress stays on track. Your specific timeline will be discussed during your consultation.

You should remove your clear aligners before eating or drinking anything other than water. This helps prevent staining and ensures that your aligners remain effective. After eating, simply brush your teeth before reinserting them.

No, chewing gum can stick to aligners and smoking can stain them.

If you lose an aligner, contact us immediately for guidance. Depending on your treatment stage, we may advise you to switch to the next aligner or provide a replacement. It’s important to maintain your treatment schedule to avoid delays.

 Use a soft-bristled toothbrush and cool water, or soak them in mouthwash with a denture cleaner or Invisalign cleaning crystals.

Our team is here to help! Feel free to ask any questions during your appointment. You can also contact us anytime before your visit for more information.

Return To Services To Explore Further

St Marys Dental Practice Partners